Chief Scientist Professor Wang Jianxun's team published a SCI paper on the study of CoV-1 camel derived nanoantibodies
introduction
One of the main ways that the novel coronavirus (SARS-CoV-2) enters host cells is through the numerous Spike proteins (S-proteins) on the surface of its membrane. S protein recognizes and binds to the membrane-surface angiotensin converting enzyme 2 (ACE2) to mediate the conversion of the viral envelope to the cell membrane. The Receptor binding domain (RBD) of S1 subunit in S protein is a key region for studying the binding of SARS-CoV-2 and ACE2 receptors and antibody recognition. It is considered the target of the most potent anti-SARS-CoV-2 neutralizing antibodies (NAbs) to date. Neutralizing antibody therapy is one of the beneficial weapons to deal with virus-infected diseases, and it has attracted much attention and expectation because of its dual effect of treatment and prevention. Neutralizing antibodies often work by binding to viral RBD, thereby preventing the virus from binding to ACE2 receptors.
Academic publication

The journal web site:http://www.mdpi.com/journal/vaccines
Recently, the team of Professor Wang Jianxun, chief scientist of our company and director of the Institute of Cell and Gene Therapy, Beijing University of Chinese Medicine, Shenzhen, used a competitive screening mode of immune library based on phage display technology to screen out a cam-derived nanoantibody that specifically targeted the shared epitope of SARS-CoV-2 RBD and its receptor ACE2. The work was published in the internationally renowned medical journal Vaccines with a journal impact factor of 4.961 for 2022. This research provides an innovative technical route for the rapid screening of cell and gene therapy-specific target antibodies, and related invention patents have been submitted.
The main results of the study are entitled "A Competitive Panning Method Reveals an Anti-SARS-CoV-2 Nanobody Specific for an RBD-ACE2 Binding. The Site paper was published online in February 2023. The corresponding author of this paper is Professor Wang Jianxun, the chief scientist of our company, and the first author is Professor Wang Jianxun's master student He Siqi.

Distinguished professor, Beijing University of Chinese Medicine School of Life Sciences, Beijing University of Chinese Medicine
Shenzhen Cell Valley biological medicine Co., LTD Master's student He Siqi
Chief Scientist Professor Wang Jianxun
Professor Wang Jianxun's team has been building a nanoparticle antibody screening platform based on phage display technology since 2020, and has completed the construction of anti-SARS-CoV-2 immune library and antibody screening. Further research goals include screening novel single-chain variable fragment (ScFv) antibodies and nanoantibodies as CAR targeting domains.
Based on the phage display method, the excellent biological characteristics of nanoantibodies, and the basic principle that the combination of RBD and ACE2 mediates virus entry into host cells, this study used the anti-SARS-CoV-2 phage nanoantibody immune library constructed in the laboratory earlier. Using wild type SARS-CoV-2 RBD (denoted as SARS-CoV-2 RBD WT) as the target antigen, RBD-ACE2 competitive panning method was used to screen the library, and a nano-antibody that can effectively block the binding of SARS-CoV-2 RBD and ACE2 recombinant protein in vitro was successfully obtained. Moreover, the antibody showed high neutralization ability against SARS-CoV-2 WT pseudovirus, and structural analysis showed that the antibody could specifically bind the shared epitope of RBD and ACE2. In addition, this study also determined the binding ability of the nanoantibody to several key strains of the novel coronavirus by measuring the binding of the nanoantibody to the recombinant phage displaying the SARS-CoV-2 mutant RBD.
Introduction to the paper
(The following is recommended for interested professionals)
The global spread of COVID-19 has highlighted the need for rapid development of highly effective treatments and preventive drugs against SARS-CoV-2. In many therapies, compared with traditional vaccine research and development, small molecule drug development takes a long time, plasma therapy sources are limited, the effectiveness is uncertain and difficult to promote, and the advantages of neutralizing antibodies are gradually highlighted. Neutralizing antibody is a kind of antibody that can prevent and treat the novel coronavirus after artificial screening, preparation and verification. It has a single component and good safety, and can accurately target the antigenic site of the novel coronavirus. In the treatment strategy for viral pneumonia where the main infection site is the respiratory tract and lungs, nanobody (Nb), also known as variable domain of heavy chain of heavy-chain antibody, The use of VHH has its unique advantages. Thanks to the excellent physical and chemical properties of the nano antibody, such as small molecular weight and stable at room temperature, it is possible to effectively atomize and locally administer the antibody to increase the concentration of the drug in the focal sites of viral infection such as respiratory tract and alveoli.
The general process of common panning in phage library is to identify and bind the phage that displays the nano antibody on its surface to the immobilized target antigen SARS-CoV-2 RBD. After sufficient incubation time, the free phage that is weakly bound to the antigen or not bound to the antigen is washed away through strict washing conditions, and then the specifically bound target phage is eluted. Infect E. coli and amplify to get the next round of phage banks. After 3 to 5 rounds of "adsorption-elution - amplification" enrichment process, the proportion of phages that can bind specifically to the antigen is gradually increased, and finally nanoantibodies that can recognize the target molecules are obtained for subsequent experiments. The simple and fast phage immune library competitive screening model designed in this study (FIG. 1) dynamically introduced the combination of non-immobilized ACE2 protein with VHH phage competition and immobilized target antigen SARS-CoV-2 RBD at the second and third round of panning. Thus, the dual goals of affinity screening and competitive panning are combined in the panning process (Table 1).

FIG. 1. Schematic diagram of competitive panning process of RBD-ACE2 bacteriophage nanoantibody library

Table 1. Panning process conditions and enrichment calculation results of each round
A total of three rounds of screening were completed, showing successful screening enrichment of anti-SARS-COV-2 nano antibody phage library. Twenty-four single colonies were randomly selected from the plates after the third round of screening, and the phage supernatant was prepared by inoculation and culture. The positive clones successfully bound to the coated RBD were identified by phage ELISA assay, and 10 positive clones with high A450 value were selected for testing. MEGA phylogenetic tree analysis was performed on the sequencing results, and the ability of phage displaying VHH to block RBD-ACE2 binding in vitro was verified by competitive phage ELISA assay. Finally, the VHH A5 clone with the strongest blocking ability was selected for further prokaryotic expression and identification, called nanoantibody VHH5-05.
D. RDB-ACE2-phage competitive ELISA results showed that four VHH phages could compete with ACE2 to bind SARS-CoV-2 RBD, and the A5 clone had the strongest competitive binding ability.
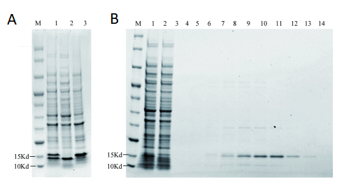
The plasmid "pET-VHH5-05-His" was constructed by homologous recombination and transferred into BL21 (DE3) expressing strain. The production of the target protein was induced by IPTG at 30℃ and 220rpm. After 6h of production, the soluble protein in the cell broken supernatant was purified by Ni column affinity, and the flow fluid, cleaning fluid and elution samples during the purification process were analyzed by SDS-PAGE. The results showed that the eluted target protein was of high purity. The molecular weight is about 13KD, which is consistent with the theoretical molecular weight.
B. SDS-PAGE analysis of protein purification. M: Standard protein Marker; 1: Supernatant after crushing; 2: flow through; 3-14: Gradient imidazole elution.
In order to uate the biological activity of purified VHH5-05 antibody, the team verified the binding specificity of the antibody and determined the antibody affinity by ELISA. The results showed that VHH5-05 can specifically bind SARS-CoV-2(WT)RBD with a high affinity (EC50=0.03 nM). The ability of purified antibody to block the binding of RBD to ACE2 recombinant protein in vitro was also verified by competitive ELISA assay. At 0.5µg/mL, VHH5-05 showed obvious binding blocking effect of RBD-ACE2, and the blocking effect was still significant when the concentration was reduced to 0.1µg/mL. The feasibility of the competitive panning method adopted in this study is further confirmed. Based on the results of this verification step, it can be preliminarily inferred that the binding sites of the screened VHH5-05 antibody and RBD-ACE2 are quite coexisting. The neutralization activity of VHH5-05 was determined by pseudovirus neutralization test. The results showed that VHH5-05 could effectively neutralize SARS-CoV-2WT pseudovirus with IC50 of 0.026μg/mL.
Recombinant M13KO7 phage containing the RBD fragment of each SARS-CoV-2 mutant was prepared. The purified nanoantibodies were coated with a high adsorption enzyme label plate, and the recombinant phage of each mutant RBD was added to bind the antibodies. The gene fragments of the bacteriophage bound on the plate were amplified by qPCR to indirectly reflect the specific binding of the nano-antibody to the recombinant bacteriophage, which was used to preliminarily verify the binding activity of the nano-antibody with different SARS-CoV-2 mutant RBD. The results showed that the purified nano antibody VHH5-05 showed strong binding ability not only to phages exhibiting wild-type RBD, but also to phages exhibiting Beta mutant RBD and Delta mutant RBD. However, the nano-antibodies screened in this study failed to exhibit binding ability to phages exhibiting Omicron mutant RBD, which was consistent with the conclusion of many studies that Omicron mutant escaped most of the existing neutralizing antibodies.

C. Competitive ELISA results of RBD-ACE2-VHH5-05 showed that VHH5-05 could effectively block the binding of RBD-ACE2 recombinant protein in vitro;
D. VHH5-05 pseudovirus neutralization ability determination; E. Analysis of binding of VHH5-05 to recombinant phage displaying a novel coronavirus mutant strain RBD.
In order to explore the structural basis of VHH5-05 blocking the interaction between SARS-CoV-2 RBD and ACE2, the structure of VHH5-05 and RBD complex was simulated, and the binding epitopes were compared with the RBD-HACE2 complex. The homology model of VHH5-05 was established through SWISS-model online server, and molecular docking was carried out with MOE software to simulate protein interaction. The protein-protein docking module in Dock package was used to realize docking calculation between RBD and VHH5-05. The receptor‑binding motif (RBM) of SARS-CoV-2 was 437-508 aa. The key amino acids that interact with RBM in hACE2 are K31, E35, D38, M82 and K353. The amino acids corresponding to SARS-CoV-2 are L455, F486, Q493, S494, N501 and Y505. Modeling analysis results showed that most residues on the epitopes of RBD-VHH5-05 overlapped with the binding interface of RBD-ACE2, especially the key loci F486, Q493 and S494 of SARS-CoV-2 RBD participated in its binding with VHH5-05. This also again supports the research conclusion that the nanoantibody can effectively block the binding of RBD-ACE2.
Sum up
Conventional phage screening is to obtain the antibody binding to the target antigen, express and purify it to verify whether it has biological function, and then verify whether it can block the binding of the receptor and ligand. Usually, in the hundreds or even thousands of antibodies in high-throughput screening, there is a chance to obtain three or two to a dozen antibodies with blocking activity, which is low efficiency and low success rate. In this study, a combination screening strategy was adopted: strict panning and the introduction of non-immobilized ACE2 to compete and guide the panning process. The whole process increased the possibility of screening out phages with high affinity and directly blocking the binding of RBD and ACE2. It will be one of the best choices for in vitro screening of nano-antibodies that can directly block SARS-CoV-2 RBD-ACE2 binding.
Although the most effective neutralizing antibodies tend to directly interfere with the binding of RBD and ACE2, which is the original intention of developing a competitive panning approach in this study, the majority of RBD mutations (9 out of 15) found in Omicron variants were located in the highly variable Q493/N/E/R/, the binding motif of ACE2 and RBD, RBM

